


People who lost their sight due to a common, previously untreatable age-related condition can now read again, thanks to a ground-breaking electronic eye implant.
The tiny device, measuring just 2mm by 2mm and half the thickness of a human hair, represents a “paradigm shift” in artificial vision, experts say.
They are optimistic the technology could eventually be offered through the NHS.
Fitted under the retina, the layer of light-sensitive tissue in the eye, it allows patients to see letters, numbers and words through an eye that was previously blind.
Thanks to the so-called “prosthetic vision”, some patients are now even able to complete crosswords and read the small print on prescription labels.
The device, known as Prima, has been “life-changing” for patients, said Mahi Muqit, senior vitreoretinal consultant at Moorfields Eye Hospital and the UCL Institute of Ophthalmology.
“I have all these patients who are blind, and when you see them, they want to know: is there anything that can restore vision?” he said. “And the answer has always been no,” said Mr Muqit.
That answer has now changed, he said.
“We’ve got some patients who are now reading books. Their quality of life is much higher.”
The findings, published in the New England Journal of Medicine, suggest 84% of patients in the trial were able to read letters, numbers and words while using Prima.
On average, they could read five lines on a vision chart, whereas before the device was fitted, some could not even see the chart.
How the Prima device works
The ground-breaking global trial included 38 patients across 17 sites in five countries, including the UK, France, Italy and the Netherlands.
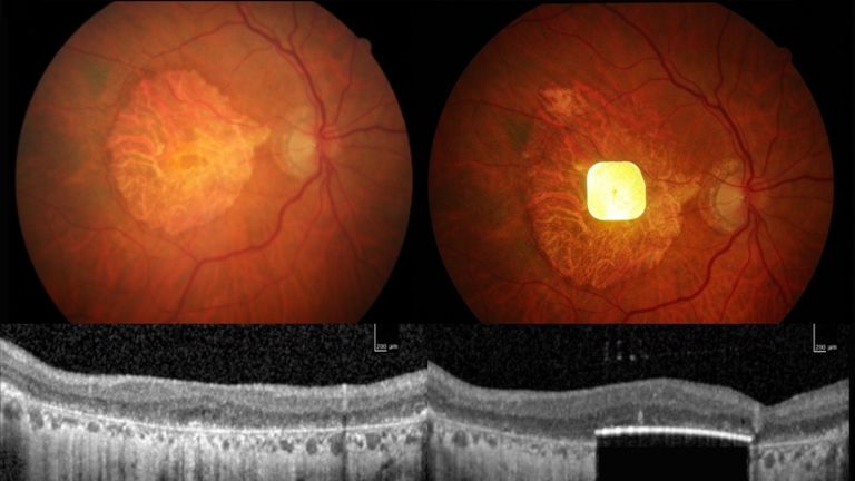
All participants had a condition known as geographic atrophy (GA), an advanced form of dry age-related macular degeneration (AMD).
GA, which affects approximately five million people worldwide, can lead to complete vision loss as the central part of the retina – the macula – deteriorates.
Experts estimate that around one in four people who are legally blind in the UK have GA resulting from AMD.
Those who took part in the study had lost central vision in the tested eye and retained only limited peripheral vision.
Surgeons performed a vitrectomy, removing the eye’s jelly-like substance, and placed the tiny 2mm chip under the retina.
Read more from Sky News:
Cargo plane slides off runway in Hong Kong killing two people
Eight ‘priceless’ objects stolen in Louvre heist
To see and read, patients wear augmented-reality glasses with a built-in camera, linked to a small computer on their waistband.
The camera sends an infrared beam to the chip, activating it. AI in the computer processes the image and converts it into an electrical signal, which travels through the retina and optic nerve to the brain, where it is interpreted as vision.
‘New era’ in artificial vision
The procedures took place at Moorfields Eye Hospital in London around three years ago and lasted under two hours.
Sheila Irvine, one of Moorfields’ patients who took part in the trial, said that before the operation her vision “was like having two black discs” in her eyes, “with the outside distorted”.
She can now read her prescriptions, do crosswords and read the ingredients on tins.
“There was no pain during the operation, but you’re still aware of what’s happening,” Ms Irvine said.
“It’s a new way of looking through your eyes, and it was dead exciting when I began seeing a letter.”
Mr Muqit said the prima device allows patients who may feel depressed and socially isolated “to start to function and pick up things that they used to enjoy”.
“In the history of artificial vision, this represents a new era,” Mr Muqit said.
“Blind patients are actually able to have meaningful central vision restoration, which has never been done before.”
Source link
